親知らずの危険、ご存知ですか?Wisdom teeth
当院親知らず抜歯の特徴
早い
年間1000本の実績、迅速、匠の技
出来る限り痛みがないよう配慮
歯科用麻酔
腫れにくい
電解次亜水を用いた消毒
症例Case
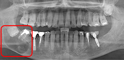
親知らず、場合によってはこんなことも
| ご費用 | 保険適応 |
|---|---|
| リスク・副作用 |
手術後の出血 神経の麻痺 |
放置していた親知らずの為に、手前の歯と顎の中に病気が発生し、2本の歯を抜歯せざるをえなくなりました。
顎の病気が大きすぎたため、顎の切断をしなければならなくなる一歩手前でした。
このような病状になる前に、早期の親知らず抜歯を推奨しております。

