今の入れ歯で満足されてますか?Denture
入れ歯をお使いの方は、多くの悩みを抱えていると思います。
今お使いの入れ歯が、あなたのお口に合っていないことが、それらの原因です。
それを解決するために、当院では機能的な印象法を用い、正確なかみ合わせの状態を作り上げ、場合によっては入れ歯専門のスーパーデンタルテクニシャン(技工士)立会いの下、製作を進めてまいります。
当院にお気軽にご相談ください。
そのお悩み、お任せください
- 入れ歯が落ちる
- 痛くて噛めない
- 食事が美味しくない
- 見た目が気になる
当院での入れ歯のこだわり
わが国では、現在高齢化社会が進み、患者様ご自身の歯(天然歯)の喪失が急速に進んでいます。その為現在歯科界全体において、入れ歯(義歯)に対する要望が多種多様化しております。
そこで、当院では患者様のご要望にお応えすべく、東京都八丁堀でご開業の 「菱山 実 先生」(ヒシヤマ・デンタルラボ)と業務提携し、今までより より精度の高い入れ歯をご提供することが可能となりました。 当院にて、入れ歯に関するご質問、ご要望がございましたら、お気軽にご相談下さい。
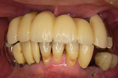
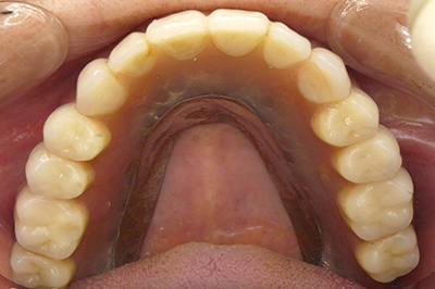
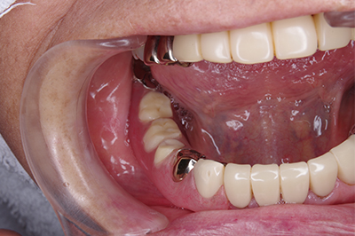
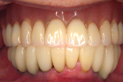
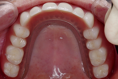
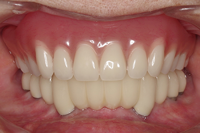
入れ歯の種類Type
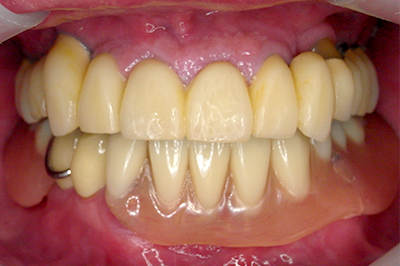
コンプリートデンチャ―
旧デンチャー
新デンチャー
| ご費用 | 片顎300000円~500000円(税込) インプラントは別途費用 |
|---|---|
| リスク・副作用 |
保険非適応(自費診療) 入れ歯が破損するケースがあります。 インプラント埋入手術が必要です。 インプラントが壊れてしまうと入れ歯が正常に使用できません。 インプラントに不具合が生じる可能性があります。 |
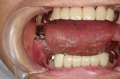
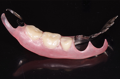
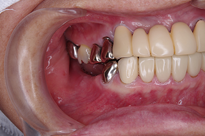
パーシャルデンチャー
| ご費用 | 1歯 80000円~(税込) |
|---|---|
| リスク・副作用 |
保険非適応(自費診療) 入れ歯が破損するケースがあります。 残存歯が虫歯になり、入れ歯が使用出来なくなる場合があります。 |
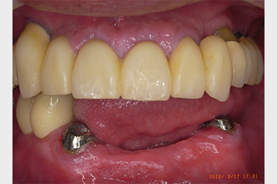
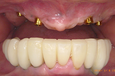
インプラントオーバーデンチャー
最も違和感が少なく、装着感が良い為、
食事や会話の際に、歯を失う前の感覚に近づける義歯です。
| ご費用 | 片顎30万円~50万円 インプラントは別途費用 ※税別表示 |
|---|---|
| リスク・副作用 |
保険非適応(自費診療) 入れ歯が破損するケースがあります。 インプラント埋入手術が必要です。 インプラントが壊れてしまうと入れ歯が正常に使用できません。 インプラントに不具合が生じる可能性があります。 |
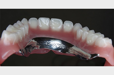
金属使用の総義歯
保険の義歯と比べて、裏板部(口蓋部)が薄く出来、より違和感が少なく、装着感や発声も良好です。更に熱感よく味の感覚が得られやすいので、美味しくお食事が出来ます。
| ご費用 | 1歯 8万円~ インプラントは別途費用 ※税別表示 |
|---|---|
| リスク・副作用 |
保険非適応(自費診療) 入れ歯が破損するケースがあります。 残存歯が虫歯になり、入れ歯が使用出来なくなる場合があります。 |
エステティックメタルデンチャー
当院では、新たな新素材と金属を組み合わせることにより、
今までよりバネが目立ちにくく、耐久性の優れた義歯を御提供出来ます。






| ご費用 | 片顎30万円~50万円 インプラントは別途費用 ※税別表示 |
|---|---|
| リスク・副作用 |
保険非適応(自費診療) 入れ歯が破損するケースがあります。 残存歯が虫歯になり、入れ歯が使用出来なくなる場合があります。 |
ノンクラスプデンチャー
従来バネの見えない入れ歯です。
耐久性が弱く、装着感もやや劣り、設計によっては、残っている歯の負担が大きくなります。
経年的に作り替えの必要が生じます。
| ご費用 | 1歯 8万円~ ※税別表示 |
|---|---|
| リスク・副作用 |
保険非適応(自費診療) 入れ歯が破損するケースがあります。 残存歯が虫歯になり、入れ歯が使用出来なくなる場合があります。 |
ヒシヤマラボ&オフィスのご紹介Introduction
当院が入れ歯製作に関して業務提携しているヒシヤマ・デンタルラボさんをご紹介いたします。
菱山 実 歯科技工士は入れ歯製作を専門としており、非常に精度の高い入れ歯を製作されています。
菱山 実 歯科技工士
略歴
| 1983年3月 東邦歯科医療専門学校卒業 |
|---|
| 1983年4月 築地別部歯科診療所入社 |
| 1993年 有床義歯主任 |
| 2003年4月 築地別部歯科診療所退社 |
| 2003年5月 ヒシヤマラボ&オフィス設立 |
| 2006年4月 東邦歯科医療専門学校非常勤講師 モリタ、ニッシン義歯インストラクター就任 |
所属学会
- 日本歯科技工士会 会員
- 東京都歯科技工士会 会員
- 銀座歯科技工士会 前会長
ヒシヤマラボ&オフィス 基本情報
〒104-0041
東京都中央区新富1-19-2 仲の橋ビル4F
TEL・FAX 03-3553-3205

