早期治療が必要不可欠ですDecayed
虫歯の長期放置は、歯を失う大きな原因の一つとなりえます。
歯の健康寿命を伸ばすためには、早期の治療が必要不可欠となります。
当院にお気軽にご相談ください。
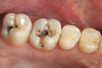
みなさまの歯、このようになっていませんか?
こういう歯は全て虫歯です
症例Case
一番右は、新たに発生した虫歯です。
つめものを取り、一番右の虫歯を除去した直後です。
全ての虫歯を取り切った後にCRを充填し、治療完了。
| ご費用 | 虫歯患部の切削とCR充填は保険適応 |
|---|---|
| リスク・副作用 | 変色しやすい。割れたり欠けたりすることがある。 |

