歯周病は自然に治癒することはありませんperiodontics
歯周病は自然に治癒することはありません。
また、サイレントディジーズ(静かなる病気)と表現されるように、症状がひどくなるまで病気と自覚されることが少ない疾患です。
違和感を感じたら、早めに歯科医院で治療を受けましょう。
今まで歯科医院に通って何度も治療してきたのに…
そのお悩み、お任せください
- 口の臭いが気になる
- 歯がグラグラする
- 歯磨きの時に血が出る
- 孫から臭いと言われる
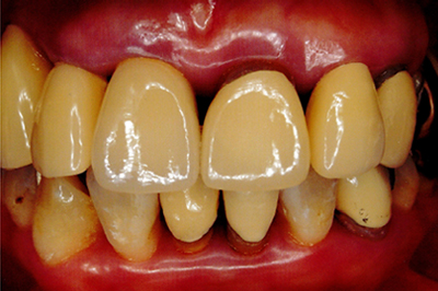
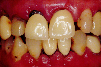
症例Case
| ご費用 | 1歯 3,300円~7,700円(税込) |
|---|---|
| リスク・副作用 |
保険非適応(自費診療) 個人差はありますが、ピリピリ・チクチクと感じます。 |

